Herausnehmbare Spangen
Mit einer herausnehmbaren Zahnspange können bereits nach mehreren Monaten gute Erfolge erzielt werden. So verfolgen wir eine positive Beeinflussung des Wachstums von Oberkiefer und Unterkiefer oft zu Beginn der Behandlung, bevor alle bleibenden Zähne durchgebrochen sind. Mit den losen Spangen kann der Kiefer etwas gedehnt werden, einzelne Zähne besser aufgestellt und bei einem Engstand der Zähne auch in begrenztem Umfang Platz geschaffen werden.
Aktive Platten
Aktive Platten kommen hauptsächlich beim Wechsel vom Milch- zum bleibenden Gebiss zum Einsatz und dienen u.a. zum Weiten des Kiefers. Der große Vorteil besteht darin, dass die Spange zum Essen und Zähneputzen herausgenommen werden kann. Körperliche Zahnbewegungen sind nicht möglich. Eine fleißige Mitarbeit ist notwendig, um die gewünschten Verbesserungen bei der Zahnstellung zu erreichen.

Funktionskieferorthopädische Geräte
Funktionskieferorthopädische Geräte dienen der Lagekorrektur des Ober- und Unterkiefers. Dies gelingt am besten in der Wachstumsphase.
Mit entsprechenden Apparaturen, z.B. Funktionsregler oder Aktivatoren können die Kiefer bewegt werden. Wichtig ist eine gute Mitarbeit unserer Patienten.
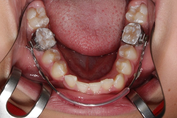
Lipbumper
Beim Lipbumper wird ein Innenbogen in der Umschlagfalte des Unterkiefers über Bänder gehalten. Er soll durch den Lippendruck der mimischen Muskulatur einen Mesialdrift der UK Molaren verhindern um somit zu einer Platzbeschaffung führen.
Positioner
Für die optimale Feineinstellung der Zähne zueinander dient der Positioner. Er umfaßt die Zähne des Ober- und des Unterkiefers, die in einem speziellen Laborverfahren ("Set-up") in idealer Position aufgestellt wurden.
Durchsichtige Retentionsschiene
Diese Art von Retainer wird auf einem Gipsmodell des Patienten hergestellt. Mit einem speziellen Gerät, dem Tiefzieh- oder auch Druckformgerät wird ein spezielles Kunststoffmaterial zunächst erwärmt. Durch die Erwärmung weicht der ansonsten harte Kunststoff auf und kann so über das Gipsmodell "gezogen" werden. Nach dem Erkalten ist das Material wieder hart und kann auf die richtige Form zurechtgeschnitten werden. Retentionsschienen können an Stelle eines Retainers und sogar für minimale Zahnbewegungen verwendet werden; sie stören die Sprache praktisch nicht, außerdem sind sie durch den klaren Kunststoff fast unsichtbar.