Ein Unternehmen der RHÖN-KLINIKUM AG
-->

KFO-Hauptbehandlung

Kieferorthopädische Hauptbehandlung

Eine kieferorthopädische Hauptbehandlung hat das Ziel sowohl Zahnfehlstellungs- als auch Kieferfehlstellungsanomalien zu korrigieren. Die Behandlungsdauer dauert insgesamt ca. 3-5 Jahre und teilt sich meist folgendermaßen auf:

 

1. Start mit herausnehmarer Zahnspange:
in dieser Phase wird der pubertäre Wachstumsschub genutzt um die Kieferlage zueinander zu korrigieren. Der Zahnwechsel wird kontrolliert und abgewartet. Auch können mit Hilfe der herausnehmbaren Spange kleinere Zahnbewegungen vorgenommen werden.
 

 
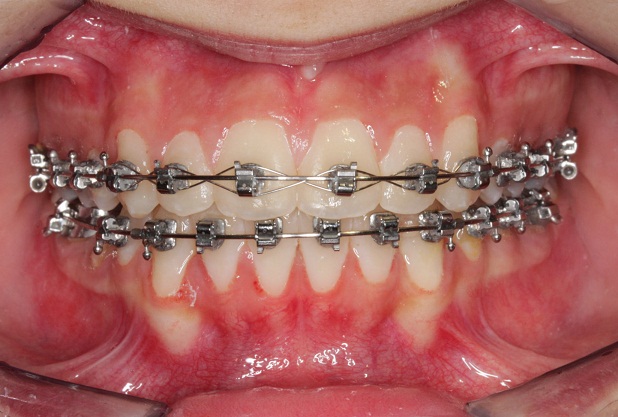
2. Körperliche Zahnbewegung mit einer festen Zahnspange:
in dieser Phase werden die Zähne zunächst mit Brackets (bukkal oder lingual) beklebt. Die Zähne werden ausgerichtet und in ihrer idealen dreidimensionalen Position in den Zahnbogen gestellt. Oft ist gegen Ende der Behandlung noch das Tragen von kleinen Gummizügen (Foto), manchmal auch der Einsatz von Federstäbchen notwendig um die Stellung von Ober- und Unterkiefer zueinander zu perfektionieren.
 


3. Retentionsphase:
Stehen alle Zähne in der gewünschten Position gilt es die erreichte Zahnstellung zu stabilisieren (retinieren). Aus Gründen der Qualitätssicherung werden bei allen Patienten in Ober- und Unterkiefer kleine, unsichtbare Drähtchen hinter die Frontzähne geklebt (sogenannte Retainerdrähte). Der Hintergrund ist, dass die Zähne ein Leben lang den Drang haben sich wieder zu verschieben, und daher aktiv in einer stabilen Position gehalten werden müssen. Zusätzlich ist nach Entfernung der festen Spange ca. 1 Jahr lang eine herausnehmbare Zahnspange (nur noch nachts) zu tragen. Nach der Retentionsphase werden die Schlussunterlagen erstellt und die Behandlung ist abgeschlossen.