Gründe für KFO
Gründe für eine KFO Behandlung
|
|
Die richtige und vor allem regelmäßige Zahnpflege von klein auf ist der Grundstein für gesunde Zähne. Doch nicht nur die Pflege, sondern auch die Stellung der Zähne im Kiefer und die Lage von Ober- zu Unterkiefer zueinander und im Schädelaufbau sind maßgeblich für das gesunde und richtige Funktionieren des Kauapparates.
Einige mögliche Fehlstellungen und ihre Folgen:
-
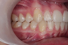
Enge und schief stehende Zähne stören nicht nur die Ästhetik des Gesichtes, sie erschweren durch schlecht zugängliche Nischen auch die Reinigung des Mundraumes und sind durch Zahnbeläge verstärkt gefährdet für Karies und Paradontitis.


-
Falsche Zahnstellungen sind vor allem im Frontbereich häufig von einer fehlerhaften Zungenlage, falschen Schluckmustern sowie unkorrekter Aussprache begleitet.


- Fehlstellungen der Kiefer und Kreuzbisse können schmerzhafte Verspannungen der Gesichts- und Kaumuskulatur bewirken und über Fehlbelastungen in den Kiefergelenken zu Schmerzen und Verspannungen im Bereich der gesamten Wirbelsäule führen. Durch die Fehlbelastungen können Kopf- und Gesichtsschmerzen, Tinnitus und Schwindel entstehen.
-
Eine durch Zahnschiefstand oder falsche Kieferlage verursachte Dysharmonie des Gesichtes kann Kaufunktion, Wachstum und Lebensqualität beeinflussen.


