Computertomographie (CT)
Wie funktioniert die Computertomographie?
Die Computertomographie (CT) ist eine bereits seit den frühen 1970er Jahren klinisch eingesetzte Untersuchungsmethode. Es handelt sich um eine besondere Röntgenuntersuchung, mit der Schichtbilder des gesamten Körpers erzeugt werden können. Eine Röntgenröhre dreht sich dabei um eine kreisförmige Öffnung, in welcher der Patient auf einem Untersuchungstisch liegt. Von der Röntgenröhre wird ein fächerförmiger Röntgenstrahl ausgesendet, welcher den Körper durchdringt. Dieser Röntgenstrahl wird von den verschiedenen Geweben des Körpers unterschiedlich stark geschwächt und auf der entgegengesetzten Seite der Röntgenröhre von speziellen Empfängern (Detektoren) empfangen. Dieses Meßsignal wird durch sehr leistungsfähige Computer in komplexen Rechenoperationen in ein Bild umgewandelt. Für die Entwicklung dieser Technik erhielten Allan M. Cormack und Godfrey Hounsfield im Jahr 1979 den Nobelpreis für Medizin.
In den 1970er Jahren war diese Technik sehr langsam und nur für die Untersuchung des Kopfes geeignet. Durch eine unentwegte Weiterentwicklung kann mit dieser Technik nun in wenigen Sekunden der ganze Körper untersucht werden. Mittlerweile werden mit diesen Systemen parallel 64 und mehr Schichten aufgenommen und in unserer Klinik sind auch modernste Systeme mit zwei Röntgenröhren für die ultraschnelle CT verfügbar. Damit können auch bewegte Organe wie das Herz sehr genau dargestellt werden. Entsprachen die frühen Bilder noch etwa 1 cm oder dickeren Schnitten durch den Körper, so sind dies heute sehr dünne, bis unter 1 mm dicke Schichten. Die einzelnen Bildpunkte können in komplexen Rechenoperationen aus allen Raumrichtungen betrachtet werden. Mit modernen Nachverarbeitungstechniken sind auch farbige 3D-Darstellungen des Körpers möglich.
Wie läuft eine CT-Untersuchung ab?
Der Patient wird durch die medizinisch technische Assistentin (MTRA) in den Untersuchungsraum begleitet und bequem auf der Untersuchungsliege gelagert. In vielen Fällen ist es erforderlich, parallel zur Untersuchung ein Kontrastmittel in die Blutbahn zu injizieren um die Gefäße und die Durchblutung der Organe sehen zu können. Hierzu wird ein Venenzugang, ähnlich einer Blutabnahme, eingebracht. Danach wird der Patient an einen Kontrastmittelinjektor angeschlossen. Nachdem durch die MTRA das Untersuchungsprogramm eingestellt wurde wird der Patient aufgefordert die Luft anzuhalten und sich nicht zu bewegen. Während der Atemanhaltephase bewegt sich die Untersuchungsliege zügig durch die Öffnung des CT-Scanners hindurch. Die normale Untersuchungsdauer liegt zwischen 5 und 20 Sekunden.
Ist für die Untersuchung Kontrastmittel erforderlich und was ist zu beachten?
Die meisten CT-Untersuchungen erfordern die intravenöse Gabe von jodhaltigem Kontrastmittel. In sehr seltenen Fällen können im Zusammenhang mit der Gabe dieser Kontrastmittel Nebenwirkungen auftreten. Das Risiko dieser Nebenwirkungen (allergische Reaktionen, Nierenfunktionsstörungen) ist sehr niedrig. Um Patienten optimal auf eine Untersuchung vorbereiten zu können, benötigen werden folgende Angaben benötigt:
- frühere Kontrastmittelreaktionen
- Erkrankungen der Schilddrüse (Hyperthyreose, M. Basedow, autonomes Adenom, disseminierte Autonomie)
- Schilddrüsentumor und geplante Radio-Jod-Therapie
- Einschränkung der Nierenfunktion
- Diabetes mellitus (Zuckerkrankheit) unter Einnahme von Medikamenten vom Typ der Biguanide (z.B. Metformin)
- Plasmozytom, monoklonale Gammopathie
- Schwangerschaft oder Stillzeit
Welche Vorteile bietet die Computertomographie?
Die mit der Computertomographie erzeigten Schnittbilder ermöglichen im Gegensatz zum konventionellen Röntgen die überlagerungsfreie Darstellung des Körperinneren. Im Gegensatz zum Ultraschall kann mit dieser Technik jede Körperregion eingesehen werden, da mit dieser Technik weder Knochen noch Luft die Sicht behindern. Durch die Kontrastunterschiede zwischen den verschiedenen Geweben und die sehr hohe Ortsauflösung (< 1mm) ist es in der Computertomographie möglich, krankhafte Veränderungen sehr viel besser als mit dem normalen Röntgen zu erkennen und zu zuordnen. Die hohe Ortsauflösung bietet weiterhin die Möglichkeit, aus den erzeugten Daten 3D-Bilder zu generieren. Diese helfen Erkrankungen und insbesondere komplexe Verletzungen besser zu verstehen und damit auch besser zu behandeln. Gleichzeitig machen diese Eigenschaften die Computertomographie auch zu einer hervorragenden Methode um mit größtmöglicher Sicherheit Proben aus dem Körperinneren (z.B. Leber, Lunge, Knochen) zu entnehmen und um bildgesteuerte Therapien (z.B. Drainagen von Abszessen oder Radiofrequenzablationen) durchzuführen.
Ein weiterer wichtiger Vorteil ist die Schnelligkeit mit der die Computertomographie durchgeführt wird. Hierdurch führen körpereigene Bewegungen (Atmung, Herzschlag, Darmbewegung) kaum zu einer Beeinträchtigung der Bildqualität. Weiterhin ist die Computertomographie unabhängig vom Untersucher. Damit können Qualitätsunterschiede, wie sie beispielsweise bei unterschiedlichen Untersuchern im Ultraschall (Sonographie) auftreten, vermieden werden.
Welche potentielle Risiken birgt die Computertomographie?
Die Grundlage für die Erzeugung von Bildern in der Computertomographie sind Röntgenstrahlen. Die Strahlenexposition und damit die effektive Dosis für eine CT-Untersuchung ist sehr variabel. In der Regel liegt sie bei etwa 2 - 10 mSv (Millisievert). Dies entspricht in etwa der natürlichen Strahlenexposition der jeder Bürger in Deutschland in einem Zeitraum von 1 bis 3 Jahren ausgesetzt ist. Durch besondere Maßnahmen des Strahlenschutzes wird die Strahlenexposition weitest möglichst minimiert. Dennoch ist diese Untersuchung für Schwangere mit Ausnahme lebensbedrohlicher Notfälle nicht zu empfehlen. Auch bei Kindern sollten möglichst alternative Bildgebungstechniken - z.B. die Kernspintomographie - eingesetzt werden. Bei verantwortungsvoller Anwednung ist die CT eine der sichersten Untersuchungsmethoden, deren Nutzen potentielle Risiken weit überwiegt.
Die falsche Angst vor zu viel Strahlung

3D-Rekonstruktion des knöchernen Beckens Normalbefund

CT-Koronarangiographie mit hochgradiger Stenose im mittleren drittel der rechten Koronararterie bei Weichteilplaque

Virtuelle Koloskopie mit Divertikulose des Colon sigmoideum

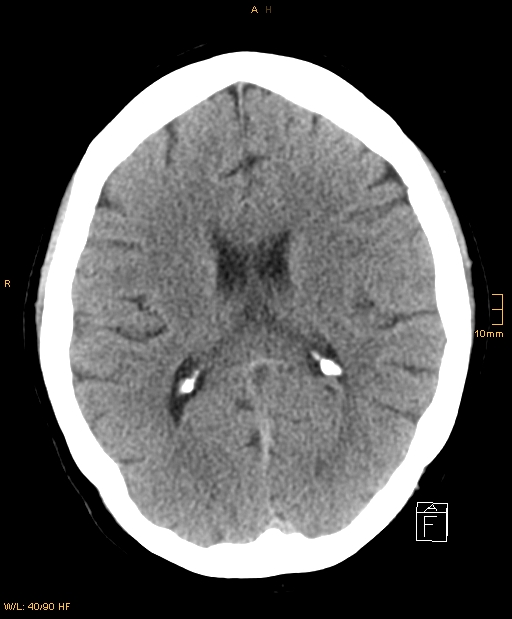
Schädel-CT Normalbefund mit Verkalkungen des Plexus choroideus in den Seitenventrikelhinterhörnern

