Zentrum für fetales MRT
Leiter: PD Dr. med. Maximilian Schulze
Telefon: 06421-58-64790
Email: maximilian.schulze@uk-gm.de
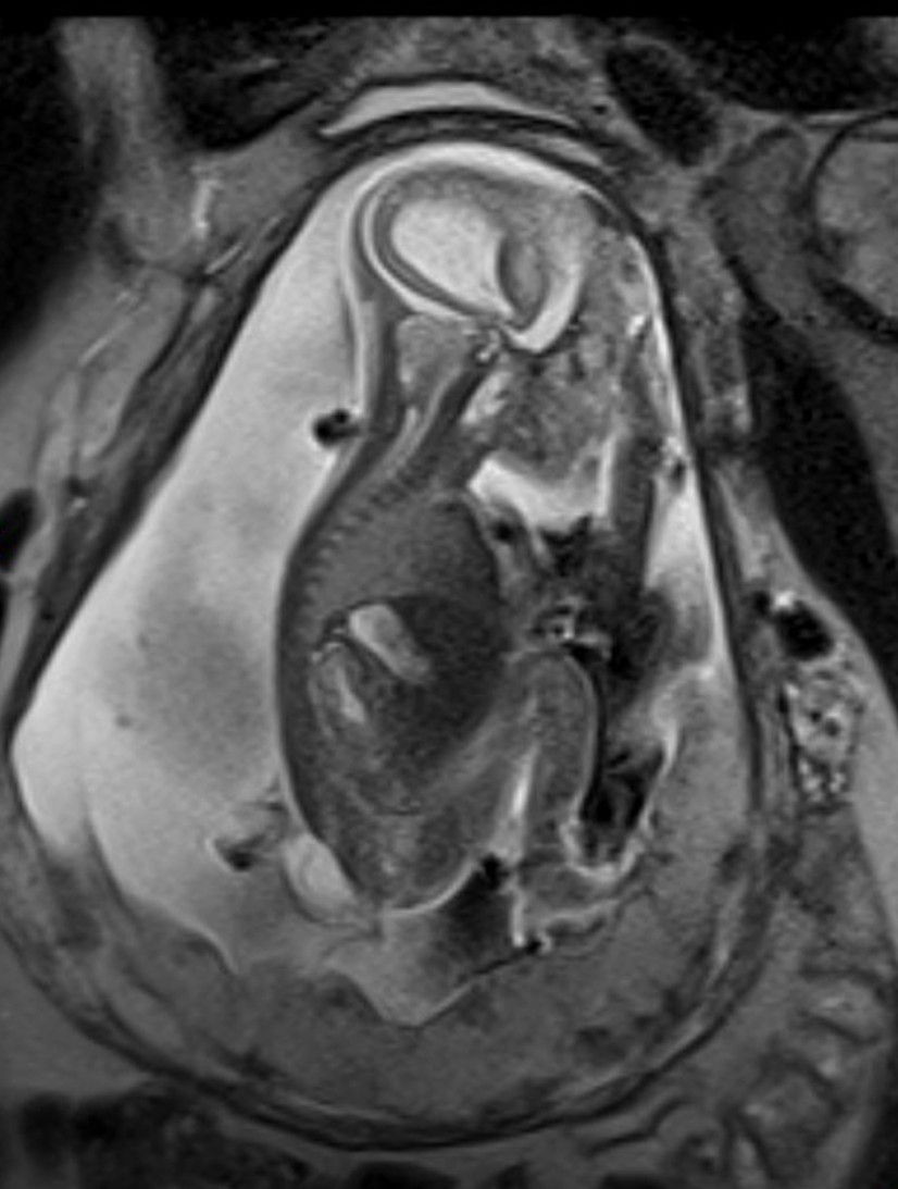
Fetales MRT – Schonende Bildgebung vor der Geburt
Das fetale MRT (Magnetresonanztomographie) ist ein strahlungsfreies Verfahren, mit dem wir Organe und Strukturen Ihres ungeborenen Kindes besonders detailreich darstellen. Es ergänzt die pränatale Ultraschall-Diagnostik und hilft, Fragestellungen präzise zu klären und die weitere Betreuung zu planen.
Wann ist ein fetales MRT sinnvoll?
- Abklärung von Auffälligkeiten im Ultraschall, z. B. Gehirn, Wirbelsäule, Lunge, Bauchorgane
- Beurteilung von Organreife und Entwicklung, wenn die Sicht im Ultraschall eingeschränkt ist (z. B. mütterlicher Body-Mass-Index, Lage des Kindes)
- Therapieplanung vor/nach intrauterinen Eingriffen oder für die Geburt in einem spezialisierten Zentrum
- Verlaufskontrollen bei bekannten Befunden
Hinweis: Das MRT ersetzt den Ultraschall nicht, sondern ergänzt ihn.
![]() |
![]() |
![]() |
Sicherheit
- Das MRT arbeitet ohne Röntgenstrahlen.
- Eine Untersuchung ist ab dem 2. Trimester (ab ca. 18.–20. SSW) üblich; früher nur in begründeten Einzelfällen.
- Kontrastmittel werden in der Schwangerschaft nicht eingesetzt.
- Metallische Implantate bei der Mutter (z. B. Herzschrittmacher) müssen vorher geprüft werden.
So läuft die Untersuchung ab
- Anmeldung & Aufklärung: Wir besprechen Fragestellung, Schwangerschaftswoche und Vorbefunde (Ultraschall/Arztbrief).
- Vorbereitung: Schmuck und Metall bitte ablegen. Sie können normal essen und trinken.
- Untersuchung: Sie liegen bequem – meist in Rücken- oder Seitenlage – im MRT. Geräusche sind normal; Sie erhalten Gehörschutz.
- Dauer: Bildgebung ca. 20–40 Minuten.
- Auswertung: Die Bilder werden von unseren Spezialistinnen und Spezialisten ausgewertet und im interdisziplinären Board aus Pränatalmedizinern, Neuroradiologen, Pädiatern und Chirurgen besprochen. Der Befund wird an Ihre/ Ihren betreuende Ärztin/Arzt übermittelt und mit Ihnen besprochen.
Was sollten Sie mitbringen?
- Überweisung (Gynäkologie/Pränataldiagnostik oder Neuroradiologie)
- Mutterpass und relevante Vorbefunde (Ultraschall, Labor, Arztbriefe)
- Versichertenkarte
Häufige Fragen (FAQ)
Spürt mein Kind etwas?
Nein. Das MRT erzeugt ein starkes Magnetfeld und Funkwellen, aber keine Strahlung. Das Kind wird nicht belastet.
Kann mein Partner mitkommen?
Gern – sofern keine Kontraindikationen für den MRT-Raum bestehen. Während der Aufnahme bitten wir die Begleitperson draußen warten.
Was, wenn ich Platzangst habe?
Sagen Sie uns Bescheid. Wir erklären jeden Schritt, bieten Pausen an und haben beruhigende Strategien. In seltenen Fällen ist ein leichtes Beruhigungsmittel möglich – das besprechen wir individuell.
Gibt es Kontraindikationen?
Ja, z. B. bestimmte Herzschrittmacher oder Implantate. Bitte teilen Sie uns Implantate und Operationen mit.
Wer trägt die Kosten?
Gesetzliche und private Kassen übernehmen das fetale MRT bei medizinischer Indikation.
Qualität & Expertise
Unsere Neuroradiologen arbeiten eng mit Pränatalmedizinern, Neonatologen, Pädiatern und Chirurgen zusammen. Modernste Geräte und spezialisierte Protokolle sorgen für hohe Bildqualität – auch bei kindlichen Bewegungen.
Wir arbeiten Hand in Hand mit unseren Kolleginnen und Kollegen aus der Abteilung Geburtshilfe und Perinatalmedizin am Universitätsklinikum Marburg und der Abteilung Pränataldiagnostik am Universitätsklinikum Gießen.
Hier finden Sie weitere Infos zum Zentrum für pränatale Medizin und fetale Therapie:
Geburtshilfe und Perinatalmedizin - Universitätsklinikum Gießen und Marburg
Pränataldiagnostik - Universitätsklinikum Gießen und Marburg
Zentrum für pränatale Medizin und fetale Therapie - Universitätsklinikum Gießen und Marburg
Terminvereinbarung
Für einen Termin erreichen Sie uns:
- Telefon: 06421 58 65301
- E-Mail: maximilian.schulze@uk-gm.de
Bitte nennen Sie bei der Anfrage die Schwangerschaftswoche und die klinische Fragestellung; so können wir den passenden Untersuchungszeitpunkt planen.


